Stefano Folzani M.D.
Medico specialista in radiologia diagnostica
Stefano Folzani M.D. è uno dei massimi esperti di Radiologia Interventistica applicata alla terapia del dolore in particolare relativamente alla patologia della colonna vertebrale. E anche uno dei maggiori esperti di radiologia Diagnostica in particolare applicata all’oncologia.
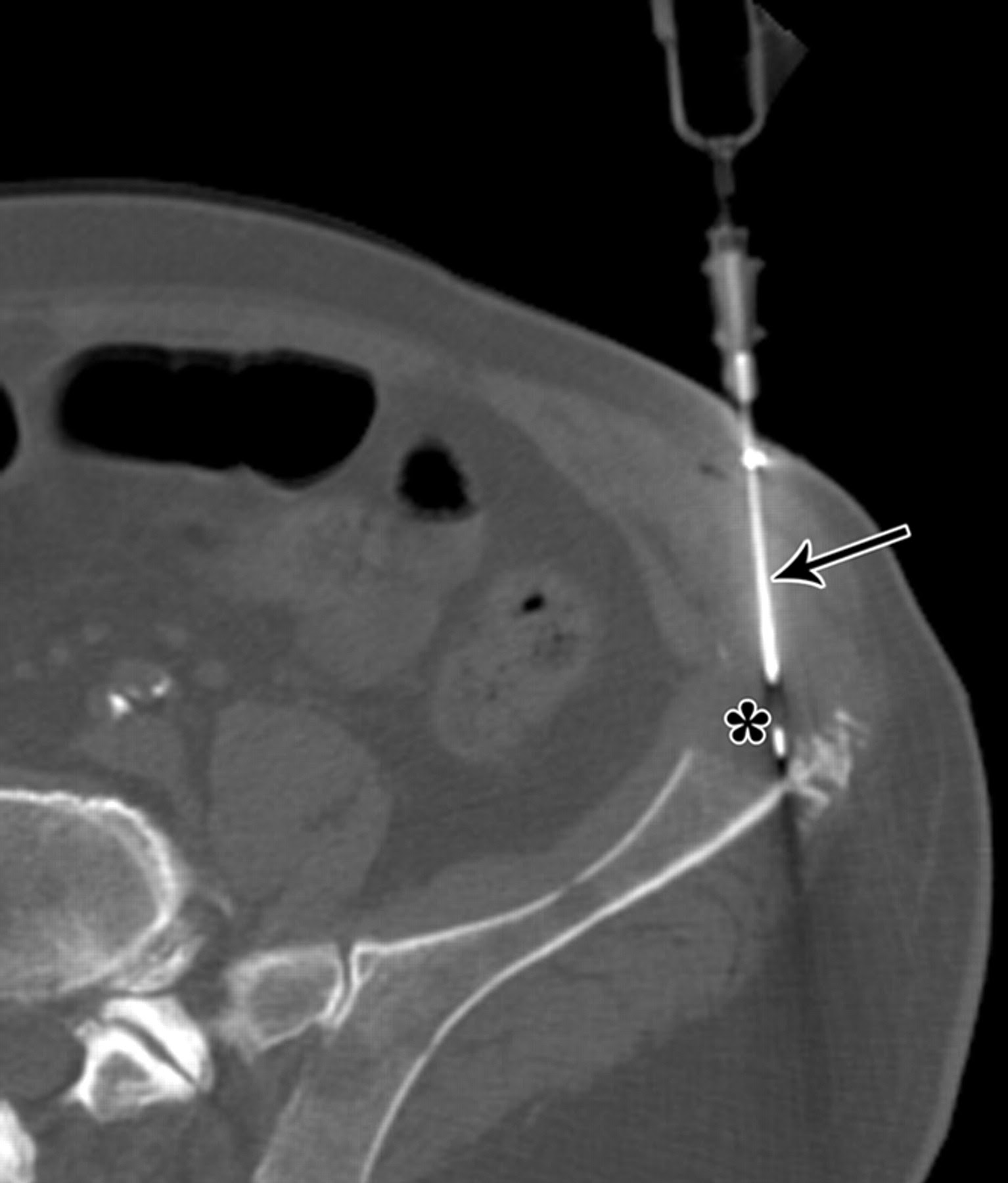
La Radiologia Interventistica (RI) è una branca della radiologia medica che comprende tutte le procedure diagnostiche e terapeutiche effettuate mediante la guida e il controllo delle metodiche radiologiche, quali fluoroscopia, tomografia computerizzata, risonanza magnetica, ecografia.
Radiologia con passione e precisione
Oltre l’immagine, verso la soluzione. Diagnosi avanzate per una salute migliore.
Servizi e trattamenti
La Radiologia Interventistica permette di curare e risolvere molte patologie con trattamenti mini invasivi e quindi con tempi di recupero molto veloci per il paziente.

Interventistica spinale

Infiltrazioni di Ozono

Interventistica intradiscale
Vertebroplastica

Medicina rigenerativa

Radiofrequenza delle faccette
Biopsia ossea TC guidata
Una valutazione diagnostica per immagini accurata prima della biopsia è fondamentale, poiché può rendersi necessario eseguire ulteriori accertamenti.
Consulenza onco-radiologica
Valutazione di esami di diagnostica per immagini di alta specializzazione ottenute con tecniche avanzate come la PET-CT, la risonanza magnetica multiparametrica.
Consulenza clinico radiologica
Visite specialistiche associate ad esami diagnostici di primo o secondo livello, per arrivare alla diagnosi precisa del problema clinico grazie a un percorso integrato.
TC coronarica
La TAC Coronarica è un esame di screening particolarmente utile per valutare la salute dell’apparato cardiovascolare. Diagnosticare tempestivamente una coronaropatie può salvare la vita.
Esami Rm di alta specializzazione
Rm epatica, Rm del pancreas, colangioRm, Rm multiparametrica della prostata e Diffusion Whole Body sono tecniche di risonanza magnetica e oggi strumenti indispensabili.
Consulenza clinico radiologica
Visite specialistiche associate ad esami diagnostici di primo o secondo livello, per arrivare alla diagnosi precisa del problema clinico grazie a un percorso integrato.
TC coronarica
La TAC Coronarica è un esame di screening particolarmente utile per valutare la salute dell’apparato cardiovascolare. Diagnosticare tempestivamente una coronaropatie può salvare la vita.
Esami Rm di alta specializzazione
Rm epatica, Rm del pancreas, colangioRm, Rm multiparametrica della prostata e Diffusion Whole Body sono tecniche di risonanza magnetica e oggi strumenti indispensabili.
Consulenza onco-radiologica
Valutazione di esami di diagnostica per immagini di alta specializzazione ottenute con tecniche avanzate come la PET-CT, la risonanza magnetica multiparametrica.
La medicina rigenerativa sta rivoluzionando il modo in cui affrontiamo molte malattie. Grazie a questa disciplina, stiamo assistendo a progressi significativi nella cura di patologie come il diabete, le malattie cardiovascolari e le lesioni del midollo spinale. Le cellule staminali, vere e proprie "fabbriche" del nostro corpo, sono al centro di queste innovative terapie.
La medicina rigenerativa rappresenta una frontiera affascinante della scienza medica. Attraverso l`utilizzo di cellule staminali e biomateriali, questa disciplina mira a riparare o sostituire tessuti danneggiati, aprendo nuove strade per la cura di numerose patologie.
tramite l`ecografia possiamo vedere tutte le strutture del collo e osservare la presenza o meno di patologie. Nel video mostro una tiroide sana.
Prevenire è meglio che curare... l`ecografia alla tiroide ne è un esempio. #salute #tiroide
Un dolore del nostro corpo non è mai per caso! Se senti male al gomito, come prima cosa mettiti subito a riposo e ascolta il parere di uno specialista. E` importante interrompere tempestivamente tutte le attività che fanno sforzare il braccio per dare, così, la possibilità per una guarigione spontanea. #salute #gomito #gomitodeltennista
Non è detto che quando si sente dolore al gomito si ha per forza l`epicondilite. Come sempre le cause possono essere diverse. Prima bisogna sempre sentire il parere dello specialista. #salute #gomitodeltennista #epicondilite
Curioso di sapere cosa si vede durante un`ecografia del collo? Ti mostRo passo dopo passo come si esegue l`esame e quali sono le strutture che si possono osservare. Dalla tiroide ai linfonodi! #ecografiadelcollo #salute #tiroide #medicina
gomito del tennista? Non sottovalutarlo! L`epicondilite può rovinare le tue giornate. Scopri cause, sintomi e trattamenti per tornare a fare ciò che ami. #epicondilite #gomitodeltennista #salute #benessere
Vuoi sapere come alleviare il dolore alla schiena senza interventi chirurgici? Il Prof. Stefano Folzani ti spiega tutto sulla radiologia interventistica. Seguici per scoprire di più! #terapiadolore #colonnavertebrale #radiologiainterventistica #salute
Sono disponibile per rispondere a qualsiasi curiosità!
🤖 Intelligenza Artificiale e Radiologia: un`alleanza strategica
🧠 L`intelligenza artificiale supporta il radiologo nell`analisi delle immagini, riducendo i margini di errore e velocizzando il processo diagnostico. Tuttavia, l`esperienza e il giudizio clinico del medico restano insostituibili. ⚡
#AI #Radiologia #Innovazione #Diagnosi #Salute #DottStefanoFolzani
🎗️ Mammografia: uno strumento di prevenzione fondamentale
📅 La mammografia è il principale strumento per la diagnosi precoce del tumore al seno. È raccomandata a partire dai 40 anni e permette di identificare lesioni millimetriche prima che diventino clinicamente evidenti, migliorando in modo significativo la prognosi. 💖
#Mammografia #Prevenzione #SaluteDonna #DiagnosiPrecoce #DottStefanoFolzani

